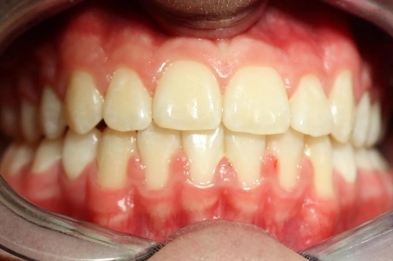
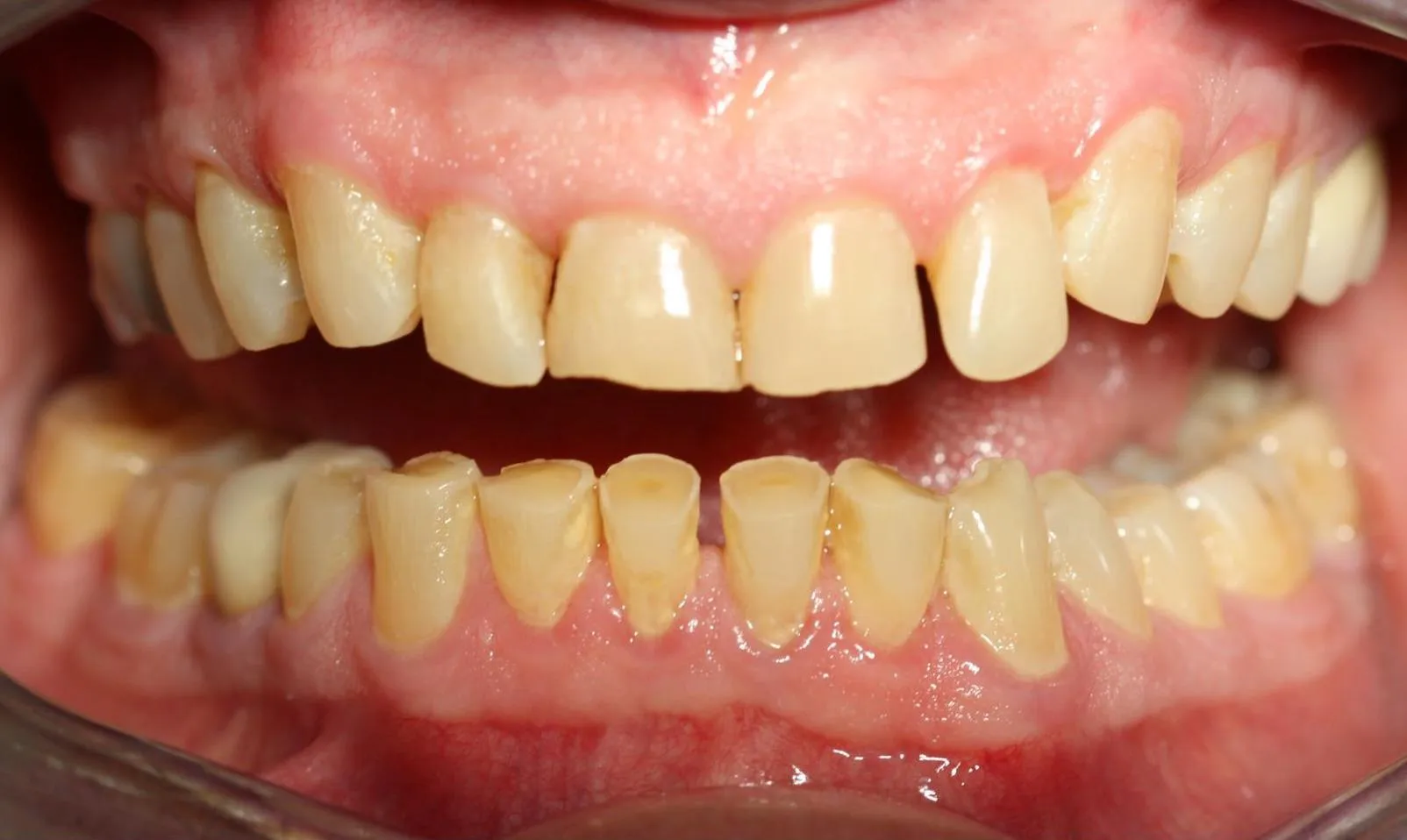
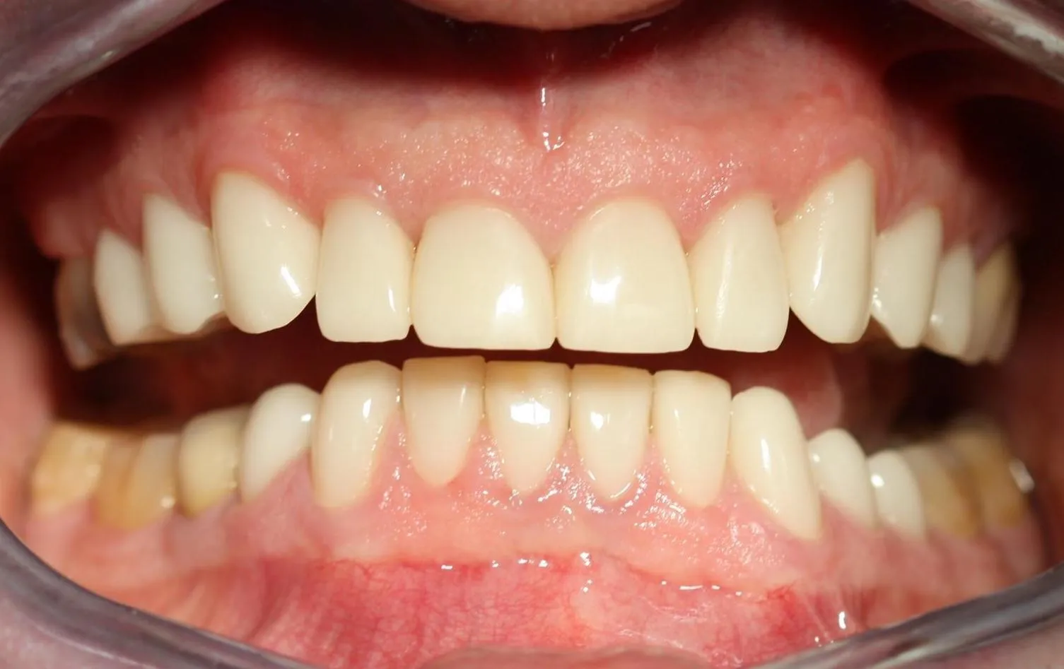
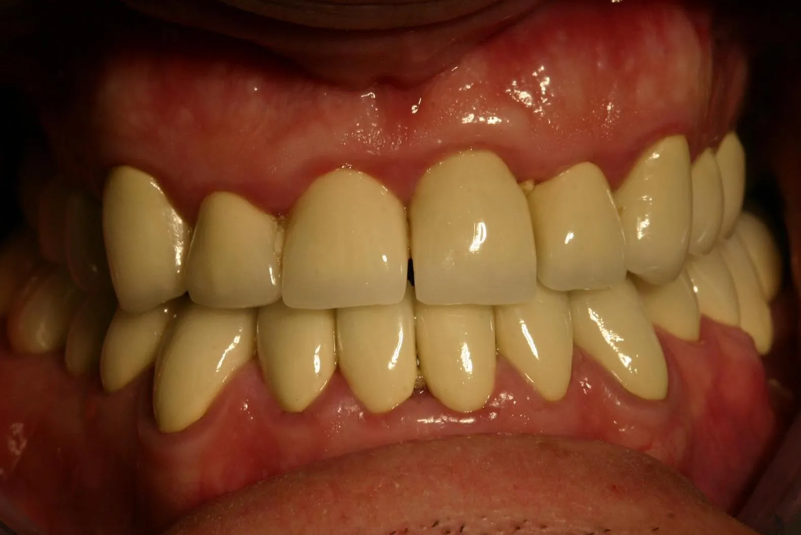
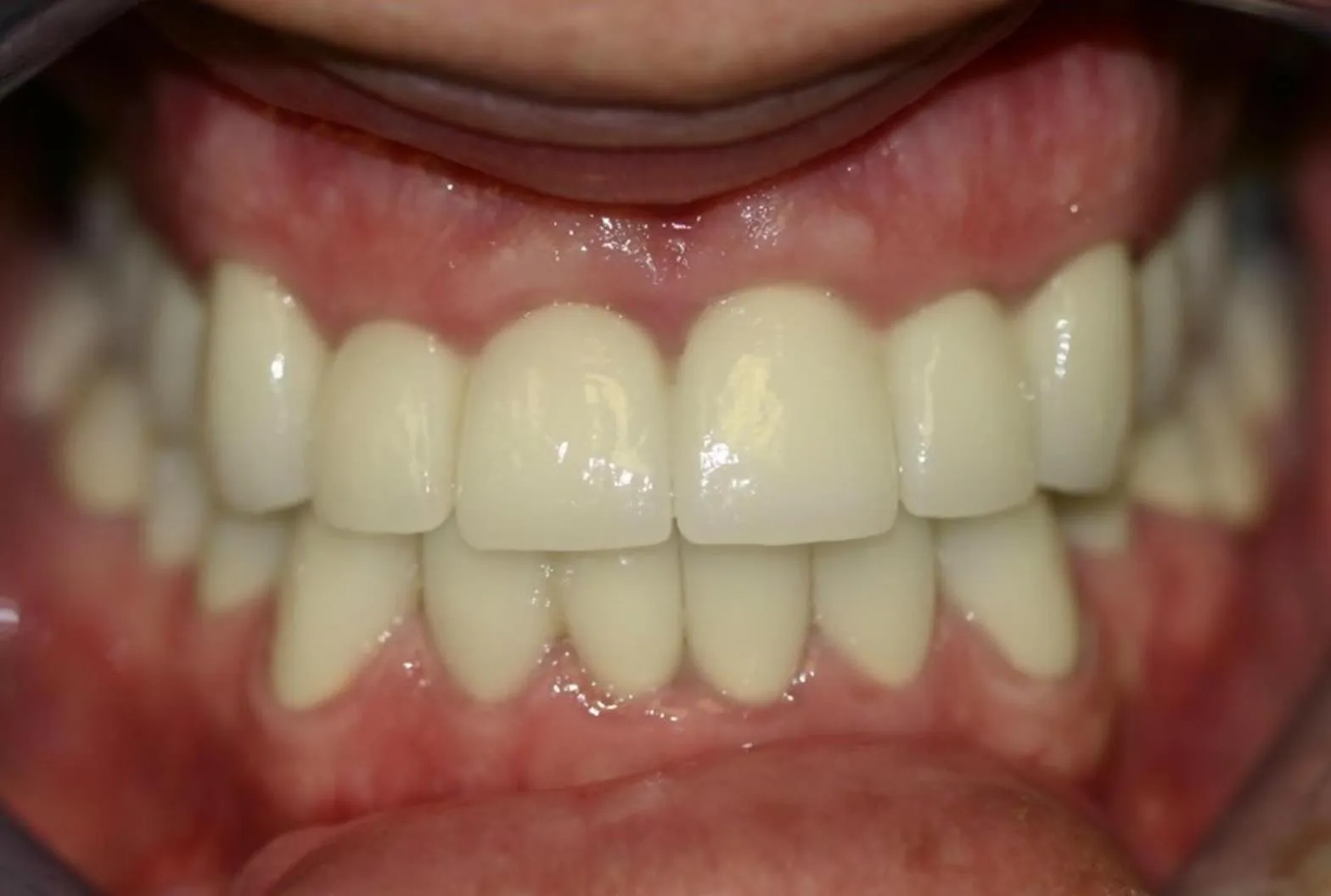
Explore our smile gallery to see the beautiful results our dentists in Wheeling, IL, have helped our patients achieve! To learn more about our dental services or make your appointment at NextGen Dental & Orthodontics, please call us today at 847-947-2651. We are excited to help you achieve the smile of your dreams!







